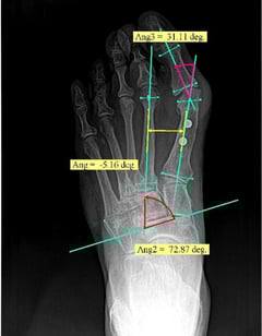
Metron for Medical | Podiatry

Metron-MD is human medical imaging software particularly focused on chiropractic and podiatry. 

 

It features world class imaging algorithms, calibration and measurement tools, multi-image stitching, report generation, full DICOM compliance, and more.


Industries

 

Companion Animal

Skeletal

Dental

 

Equine

Skeletal

Dental

Farrier

 

 

Medical

Podiatry

Chiropractic